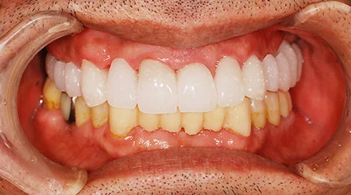
美しい白さ、セラミックで実現

以下に当てはまる方は、当院にご相談ください。
- 銀歯を白くしたい
- 芸能人のような真っ白な歯を手に入れたい
- 天然歯となじむ歯を手に入れたい

火~土 9:00~13:00/14:30~18:00
※休診日:月曜・日曜・祝日

美しい白さ、セラミックで実現

以下に当てはまる方は、当院にご相談ください。
最短「1日」で「白い歯」が手に入る「ダイレクトボンディング法」

「少ない通院回数で白い歯を手に入れたい」という方におすすめなのが、特殊な光で硬化するゲル状の素材を使った「ダイレクトボンディング法」です。この治療法であれば、最短1日で白い歯を手に入れることができます。
ゲル状の素材を使用するので、形を自由に変えることができ、歯を大きく削る必要もありません。
「イメージを共有」して患者さんの理想を叶える
審美治療においてもっとも大切なのは、患者さんの理想に近づけることです。どれだけ素晴らしい治療を行っても、患者さんが「思っていたものと違う」となれば、それは残念ながら治療の失敗です。当院では、そうした事態を避けるために、それぞれのステップで患者さんとイメージのすり合わせを行います。
「カウンセリング」は入念に

まずは患者さんの理想をしっかりとお伺いします。実際の症例や模型を見ながら、イメージを固めていきましょう。雑誌の切り抜きなどをお持ちいただければ、具体的な治療法についてもご説明いたします。
「セットアップ模型」の活用

カウンセリングが終わったら、患者さんの歯型を取って「セットアップ模型」を製作します。実際に患者さんにも模型を見ていただきながら治療後のシミュレーショを行い、さらにイメージをすり合わせていきます。
※患者さんのケースによって行わない場合もあります。
最終イメージを「仮歯」ですり合わせる

仮歯を装着していただいたら最終段階です。このとき、下記の項目をご確認いただき、必要に応じて改善を行っていきます。
「苦しい型取り」は必要ありません!

被せ物を製作する際は、必ずお口の型取りをしなくてはいけません。しかし、従来は粘土のようなものをお口に入れて型取りをしていたため、患者さんの負担もかなり大きかったのではないでしょうか。特に、嘔吐反射の強い方にとっては苦痛を強いられるものだったはずです。
歯を削る量は「最小限」に抑える
セラミックの詰め物や被せ物を装着する場合、一定量の歯を削らなくてはいけません。しかし「健康な歯はできるだけ削りたくない」というのが患者さんの本音でしょう。当院では、こうしたニーズにお応えするべく、「ラミネートベニア法」という治療法を採用しています。
歯をほぼ削らない「ラミネートベニア法」
ラミネートベニア法では、歯の表面に薄く加工したセラミックの歯を装着します。爪に「ネイルチップ」を付けるようなイメージです。歯の表層を薄く削るだけですむため、通常のセラミック治療に比べて身体への負担を最小限に抑えられます。


金属アレルギーをお持ちの場合、指輪やネックレスといった金属製品を身に付けたときに、かゆみや湿疹といった症状があらわれることがあります。
実は、歯医者の治療で入れた銀歯が金属アレルギーを引き起こすことも珍しくはありません。
銀歯に含まれる金属は、唾液の中に溶け出して身体の中に取り込まれます。その後、体内でたんぱく質と結合してアレルゲンとなってしまうのです。
・口内炎ができやすい
・口内炎がなかなか治らない
このような方は、銀歯が原因の金属アレルギーをお持ちかもしれません。そのまま放置すると、アトピー性皮膚炎や自己免疫疾患などを発症する可能性もあります。
当院では、患者さんが抱えていらっしゃるお口のお悩みや疑問・不安などにお応えする機会を設けております。どんなことでも構いませんので、私たちにお話ししていただけたらと思います。
ご興味がある方は下記からお問い合わせください。